“Hay bebés con cabezas de tamaño normal, pero con cerebros que no lo son. Hay bebés que donde debía haber un cerebro ahora hay solo líquido. Hay bebés que casi no tienen tejido cerebral. La microcefalia es solo la punta del iceberg”.
Cómo el zika ataca el cerebro de los bebés: “La microcefalia es solo la punta del iceberg”
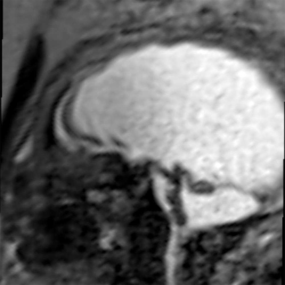
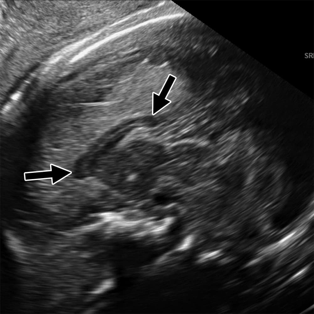
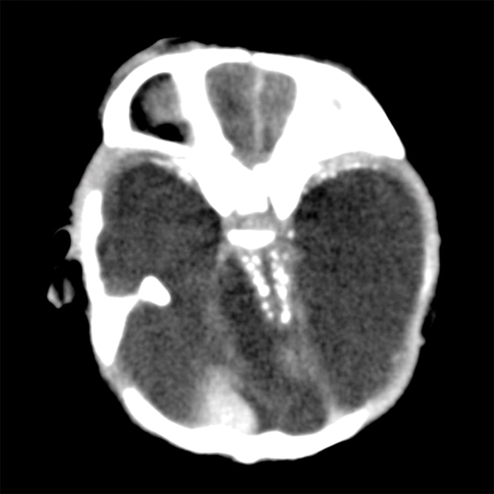
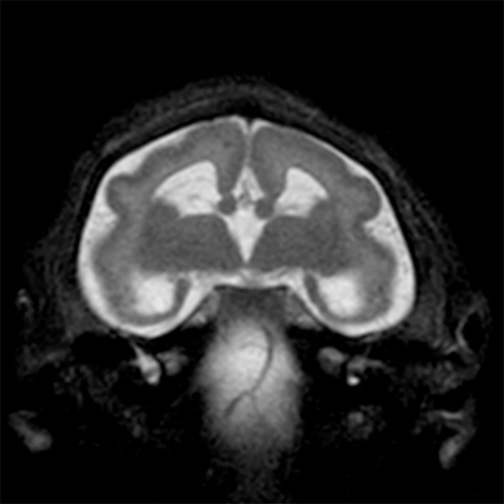
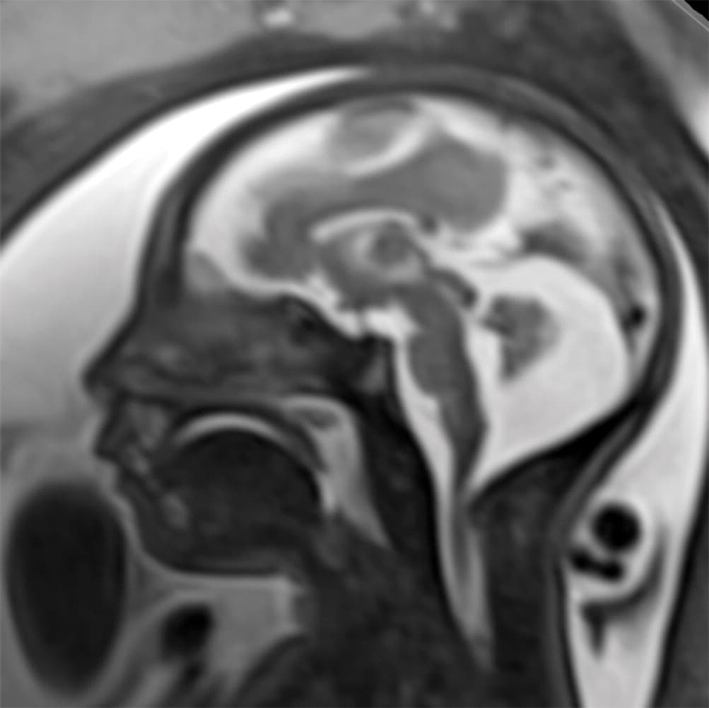
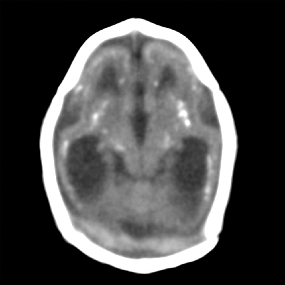
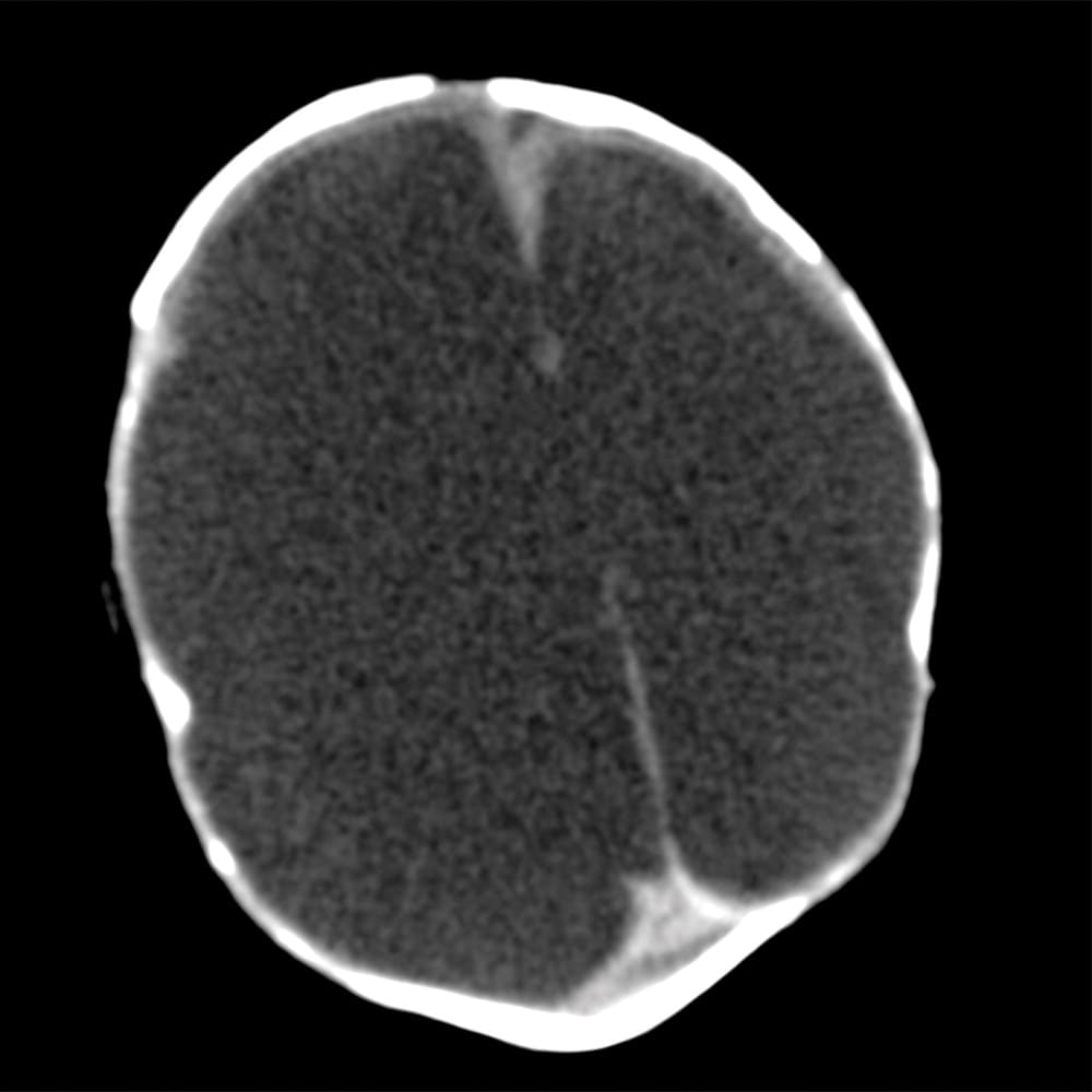
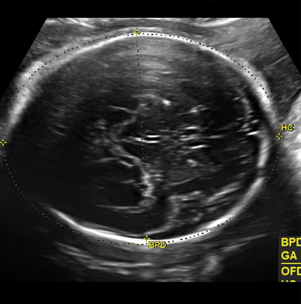
Investigadores brasileños difundieron este martes el mayor número hasta ahora disponible de imágenes computarizadas, resonancias magnéticas y ultrasonidos, de bebés y fetos infectados con el virus del Zika. El daño es mucho mayor del que anticipaban.

Así describe la radióloga brasileña Fernanda Tovar-Moll lo que vio al analizar centenares de imágenes computarizadas, resonancias magnéticas y ultrasonidos de 45 bebés que se contagiaron de zika en el vientre materno en el estado de Paraíba, en el noreste del país, donde el brote ha sido severo.
La mayoría nació con microcefalia, cuya característica más llamativa es que tienen el cerebro y la cabeza más pequeña. Pero muchos sufren una escala y severidad de daño mucho peor en partes importantes del cerebro como el cuerpo calloso, que conecta los dos hemisferios; el cerebelo, que juega un papel significativo en el movimiento, equilibrio y habla; y los ganglios basales, que controlan el pensamiento y la emoción.
Tovar-Moll es coautora de un estudio publicado el martes en la revista Radiology y fue liderado por la doctora Patricia Soares de Oliveira-Szejnfeld, a quien se le da crédito por establecer el vínculo entre el zika y la microcefalia en Brasil.
Todavía se desconoce exactamente cómo el zika logra penetrar la placenta y contagiar al feto, cuando la mayoría de los víruses no lo consigue. Tampoco el por qué solo algunas mujeres embarazadas que están infectadas de zika transmiten el virus a su feto. Pero se cree que el daño mayor ocurre durante el primer trimestre. “A las 20-24 semanas ya se pueden ver la mayoría de las anomalías en un ultrasonido”, comentó Tovar-Moll.
¿Cómo es la salud de estos bebés?
Las autoridades sanitarias de Brasil estiman que aproximadamente el 90% de los niños con microcefalia y otras enfermedades degenerativas derivadas del zika sufrirán de algún tipo de discapacidad mental.
Los bebés afectados son más susceptibles a la epilepsia y a tener problemas motores. Les cuesta estar de pie y tener buen equilibrio. Tienen deformidades en el rostro y suele sobrarles piel en el cuello, porque su cerebro nunca llegó a alcanzar el tamaño normal. Tienen problemas para tragar y para comer. Son hiperactivos y les cuesta aprender, comunicarse y valerse por sí mismos. Sus músculos no se desarrollan normalmente porque no tienen los impulsos nerviosos necesarios, por lo que algunos no pueden mover sus extremidades.
Siobahn Dolan, MD, MPH, asesora médico de March of Dimes, ha dicho de los nuevos hallazgos: "Todo lo que estamos aprendiendo de lo que Brasil está experimentando es preocupante”.
El próximo paso en la investigación
No existe un tratamiento específico para la microcefalia y otras enfermedades degenerativas derivadas del zika, pero los programas de intervención temprana y estimulación pueden mostrar efectos positivos en el desarrollo de los niños.
Hasta ahora los científicos desconocen cuánto y de qué manera vivirán los bebés con microcefalia y otras discapacidades asociadas al virus.
"Estamos desarrollando un nuevo estudio para investigar cómo la infección congénita puede interferir no sólo en el período prenatal, sino también en la maduración postnatal del cerebro. Es nuestro objetivo seguir a estos niños por los menos por los próximos dos años", dijo Tovar-Moll.
Cuándo se empezó a sospechar

En enero de este año las sospechas de que el zika causaba microcefalia se incrementaron porque el mapa del virus en Brasil coincidía con el aumento en el número de casos y porque el virus fue detectado en la placenta y feto de bebés que fueron abortados o que nacieron muertos.
En marzo, un estudio en The Lancet estimó que cerca de 1% de las mujeres infectadas en la Polinesia Francesa durante el primer trimestre tuvo bebés con microcefalia.
Ese mismo mes, científicos del Institute D'or Research y la universidad Federal de Río de Janeiro, observaron cómo el virus operaba en las células humanas, probando la devastación que causa en el sistema nervioso central.

































