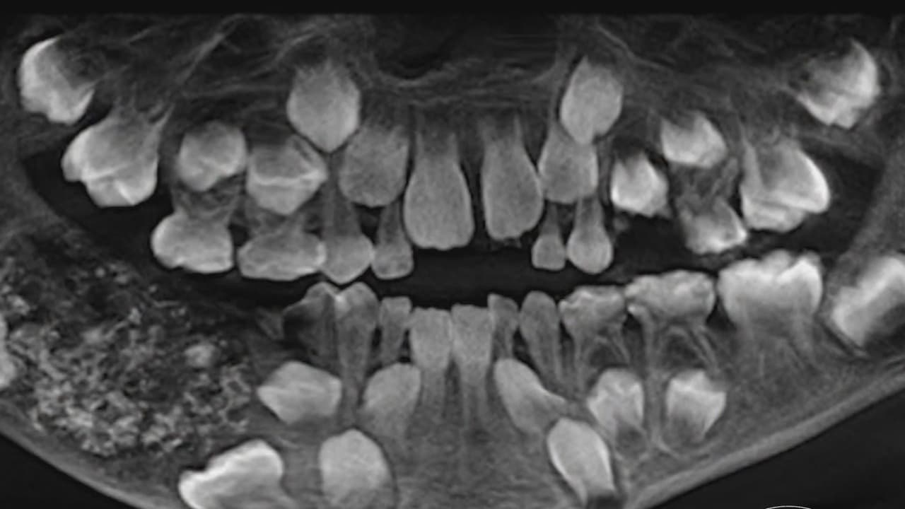
Un niño de 7 años con 526 dientes fue lo que reveló una radiografía: entérate cómo terminó este insólito caso
Un pequeño de esa edad tiene normalmente 20 dientes, que pasan a ser 32 cuando es adulto. Pues este menor en India tenía más de 500, por lo que requirió cinco horas de cirugía pare remover los cientos de piezas dentales sobrantes, en un caso único en el mundo.
Un niño de 7 años con 526 dientes fue lo que reveló una radiografía: entérate cómo terminó este insólito caso
Un pequeño de esa edad tiene normalmente 20 dientes, que pasan a ser 32 cuando es adulto. Pues este menor en India tenía más de 500, por lo que requirió cinco horas de cirugía pare remover los cientos de piezas dentales sobrantes, en un caso único en el mundo.