Virus del Zika
El zika y el cerebro de una bebé de una madre de 18 años
Un estudio en Brasil muestra cómo el virus del Zika ataca y destruye parte del cerebro de los bebés.

A las 12 semanas de embarazo, esta madre de 18 años tuvo una erupción en la piel. Su infección de zika fue confirmada en el Instituto de Pesquisa de Campina Grande, en Brasil.
Radiology.
A las 17 semanas el tamaño de la circunferencia de la cabeza del feto estaba dentro del rango normal.
Radiology.
A partir de la semana 21 empezaron a verse signos de que el cerebro del feto no crecía al ritmo debido.
Radiology.
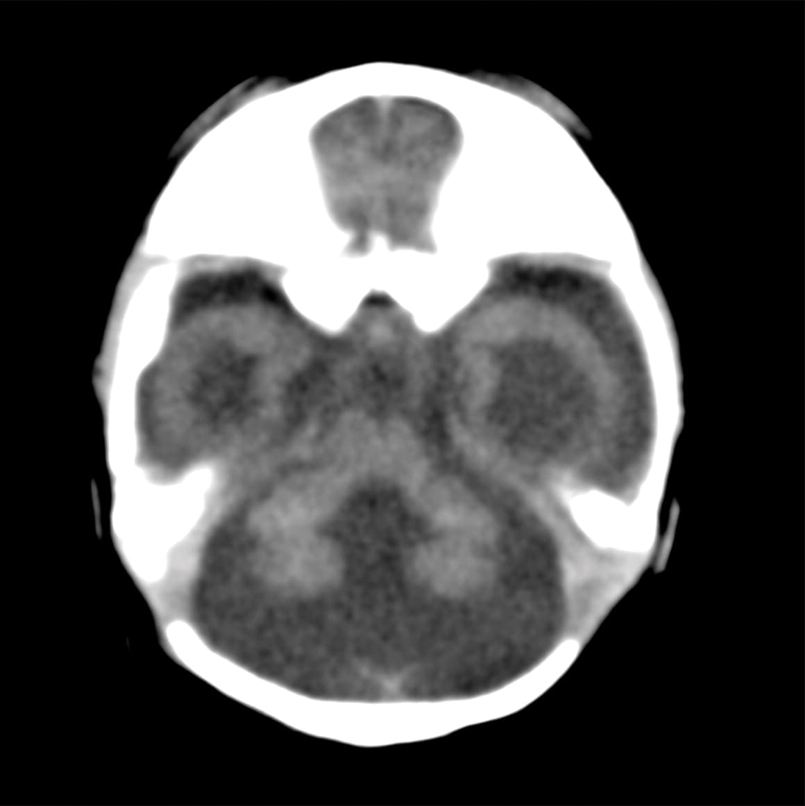
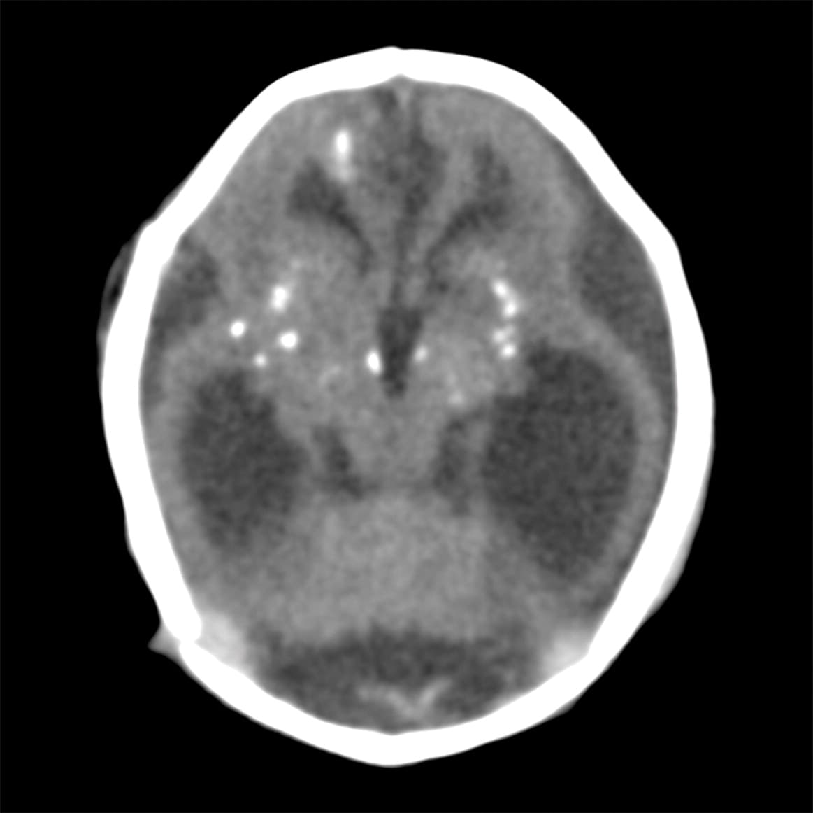
El feto falleció. Las imágenes computarizadas muestran que tenía calcificaciones en la materia blanca, el tálamo y los ganglios basales.
Radiology.
No tenía el cuerpo calloso que conecta ambos hemisferios.
Radiology.Relacionados: