Una enfermedad en las encías podría desarrollar problemas graves de salud bucal, pero es posible prevenirla: te explicamos qué son las encías retraídas.
Si tuviste brackets de adolescente podrías tener encías retraídas, conoce la enfermedad


La salud bucal es tan importante como la de cualquier otra parte del cuerpo, pues las pequeñas molestias se pueden convertir en algo más grave y ocasionar problemas serios en los dientes o encías.
Por eso es importante estar al tanto del estado de salud bucal y no solo prestarle atención o acudir al dentista cuando hay una molestia grande.

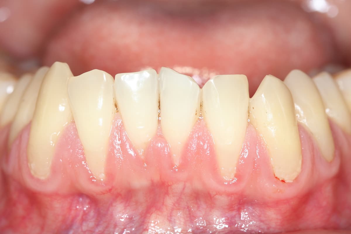
Una afección común que avanza gradualmente es la encía retraída, una enfermedad que ocurre cuando el tejido que sostiene los dientes se desgasta.
Las encías retraídas se pueden identificar porque la base de los dientes es cada vez más visible, hasta mostrar la raíz, e incluso se puede perder alguna pieza dental.

El problema de pérdida de tejido en las encías es causado por diferentes razones, pero algunas de las más comunes son la acumulación de bacterias, cepillado agresivo o tratamientos agresivos como los brackets.

Acumulación de placa
La acumulación de placa bacteriana usualmente ocurre por falta de higiene bucal, lo cual conduce a gingivitis o inflamación de las encías y, más adelante, periodontitis.
La gingivitis leve se manifiesta con un color más rojo en las encías, dolor moderado y sangrado al morder muy fuerte o durante el lavado de dientes.

Cuando la afección se convierte en periodontitis, los dientes parecen más largos por la pérdida de tejido y los depósitos de sarro se vuelven visibles.
Los dientes también se vuelven más sensibles con alimentos muy fríos o calientes, se produce halitosis (mal aliento) y hay un mal sabor de boca constante. Si la periodontitis avanza, todos los síntomas se vuelven más graves, los dientes se aflojan y desprenden.

Cepillado agresivo
Las encías retraídas por un cepillado agresivo ocurren cuando los cepillos tienen cerdas son muy gruesas o duras y desgastan la encía hasta causar la enfermedad.
Incluso si los cepillos son suaves, al limpiar los dientes de manera brusca puede causar la encía retraída.

Golpes y otros factores
Un traumatismo causado por un golpe o un accidente pueden provocar la retracción de las encías. Algunos casos comunes suelen ocurrir en deportes de contacto o con el uso previo de brackets.
La genética también influye en la probabilidad de padecer retracción de encías; sin embargo, están asociadas a otras enfermedades que afectan el sistema inmunológico, como la diabetes o el sida, así como el tabaquismo o el estrés.

¿Cómo se tratan las encías retraídas?
La solución al problema de encías retraídas grave es un procedimiento quirúrgico en el que se inserta tejido blando para recuperarlas y volver a cubrir la base de los dientes.
No obstante, la retracción se puede evitar con buenos hábitos de higiene, cepillado correcto y detección temprana para identificar las causas y evitar el desgaste.

Para evitar complicaciones se debe acudir con un especialista que recomendará el tratamiento adecuado o dará consejos oportunos para prevenir la enfermedad.
mini:
No te pierdas:










