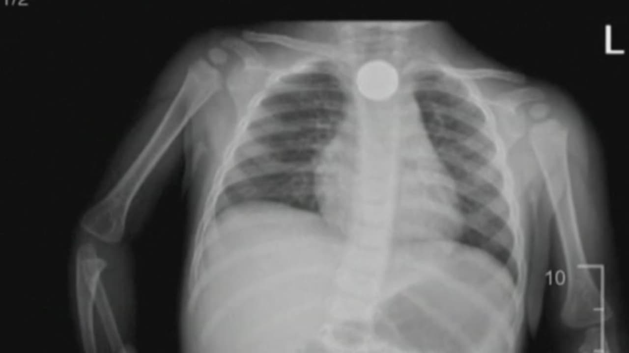
Cómo evitar que las baterías de litio se conviertan en un peligro potencialmente mortal para tus hijos
Un reporte de la Academia Americana de Pediatría indica que cada año, más de 3,000 niños en EEUU se tragan las pequeñas baterías redondas usadas en diversos dispositivos. Estas pilas de litio pueden causar daños permanentes o hasta fatales, por lo que Maity Interiano nos dice cómo evitar una tragedia en nuestra propia casa.
Cómo evitar que las baterías de litio se conviertan en un peligro potencialmente mortal para tus hijos
Un reporte de la Academia Americana de Pediatría indica que cada año, más de 3,000 niños en EEUU se tragan las pequeñas baterías redondas usadas en diversos dispositivos. Estas pilas de litio pueden causar daños permanentes o hasta fatales, por lo que Maity Interiano nos dice cómo evitar una tragedia en nuestra propia casa.