Vix
Noticias
Shows
Famosos
Deportes
Radio
Shop
Radio
Música
Podcasts
Eventos
Uforia App
Radio
Música
Podcasts
Eventos
Uforia App
Descargar App
PUBLICIDAD
El Free-Guey
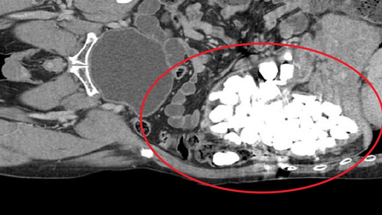
Encuentran piedras, corchos y monedas en el estómago de un hombre
El paciente fue intervenido debido a fuertes dolores abdominales por objetos extraños en el estómago, todo ello al parecer debido a la ansiedad.
Por:
Univision
Publicado el 20 feb 19 - 06:47 PM EST.
1:54 min
Encuentran piedras, corchos y monedas en el estómago de un hombre
El Free-Guey
1:54 min
7:09 min
Entrevista Exclusiva: Douglas Emhoff habla sobre Kamala Harris y la importancia del voto latino
El Free-Guey
7:09 min
1:54 min
Maribel Guardia apoya a Belinda, tras su ruptura con Christian Nodal, y condena el 'bullying'
El Free-Guey
1:54 min
1:32 min
Vocalista de Fuerza Regida detiene el tráfico en popular autopista de Los Ángeles y se pone a cantar
El Free-Guey
1:32 min
1:39 min
Salvadoreña se vuelve viral por quejarse de que los invitados a su boda prefirieron ir a ver a Bad Bunny
El Free-Guey
1:39 min
2:04 min
Hombre gasta miles de dólares en cirugías para lucir "perfecto" y La Bronca revela secreto sobre El Ojitos
El Free-Guey
2:04 min
1:58 min
Descubren a soldados rusos en Tinder, buscado pareja entre las mujeres ucranianas, y son criticados
El Free-Guey
1:58 min
1:39 min
Calibre 50 presenta a su nuevo vocalista frente a la prensa en México y las críticas no se hacen esperar
El Free-Guey
1:39 min
1:28 min
Sacerdote se vuelve viral en TikTok, tras atacar a las mujeres que se hacen cirugías estéticas en Tijuana
El Free-Guey
1:28 min
1:11 min
Niurka Marcos aconseja a Belinda no regresar el anillo y regaña a Christian Nodal por sus tatuajes
El Free-Guey
1:11 min
1:05 min
Doña Rosa Rivera y Juan Rivera critican las fotos de Chiquis posando desnuda en Instagram
El Free-Guey
1:05 min
Tus historias favoritas están en ViX
Gratis
Gratis
Gratis
Gratis
Gratis
Gratis
Gratis
¿Quieres ver todo el catálogo de contenidos?
ir a ViX
PUBLICIDAD
Descargar App
El Free-Guey
Encuentran piedras, corchos y monedas en el estómago de un hombre
El paciente fue intervenido debido a fuertes dolores abdominales por objetos extraños en el estómago, todo ello al parecer debido a la ansiedad.
Por:
Univision
Publicado el 20 feb 19 - 06:47 PM EST.
1:54 min
Encuentran piedras, corchos y monedas en el estómago de un hombre
El Free-Guey
1:54 min
7:09 min
Entrevista Exclusiva: Douglas Emhoff habla sobre Kamala Harris y la importancia del voto latino
El Free-Guey
7:09 min
1:54 min
Maribel Guardia apoya a Belinda, tras su ruptura con Christian Nodal, y condena el 'bullying'
El Free-Guey
1:54 min
1:32 min
Vocalista de Fuerza Regida detiene el tráfico en popular autopista de Los Ángeles y se pone a cantar
El Free-Guey
1:32 min
1:39 min
Salvadoreña se vuelve viral por quejarse de que los invitados a su boda prefirieron ir a ver a Bad Bunny
El Free-Guey
1:39 min
2:04 min
Hombre gasta miles de dólares en cirugías para lucir "perfecto" y La Bronca revela secreto sobre El Ojitos
El Free-Guey
2:04 min
1:58 min
Descubren a soldados rusos en Tinder, buscado pareja entre las mujeres ucranianas, y son criticados
El Free-Guey
1:58 min
1:39 min
Calibre 50 presenta a su nuevo vocalista frente a la prensa en México y las críticas no se hacen esperar
El Free-Guey
1:39 min
1:28 min
Sacerdote se vuelve viral en TikTok, tras atacar a las mujeres que se hacen cirugías estéticas en Tijuana
El Free-Guey
1:28 min
1:11 min
Niurka Marcos aconseja a Belinda no regresar el anillo y regaña a Christian Nodal por sus tatuajes
El Free-Guey
1:11 min
1:05 min
Doña Rosa Rivera y Juan Rivera critican las fotos de Chiquis posando desnuda en Instagram
El Free-Guey
1:05 min
Gratis
Gratis
Gratis
Gratis
Gratis
Gratis
Gratis